
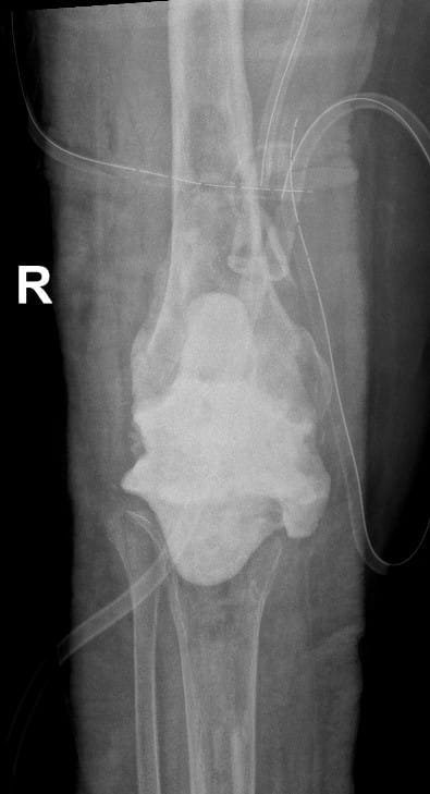
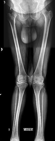
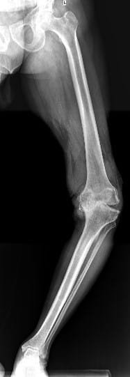
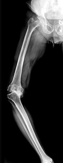
Osteoarthritis (OA) of knee occurs due to wear and tear of cartilage. It is usually due to aging and seen mostly in elderly people. Females usually get affected at slightly earlier age than males. OA can also occur in some cases due to injury in the knee, congenital malformation or due to any other diseases affecting other joints of the body.
Patients suffering with OA have pain around knee, difficulty in standing/walking/using stairs, difficulty in bending the knee or sitting on floor. They also find difficulty in getting up from a sitting position. As the months progresses, these symptoms tend to worsen. At times, patients also notice swelling in their knee joint. It can also affect their sleep pattern. Gradually over the years, the distance which patient could walk earlier, reduces considerably. They also find difficulty in performing day-to-day activities. This reduces their “self-esteem” further. In very advance stages, patient becomes bedridden and crippled.
In initial stages, these patients are managed with analgesics, physiotherapy and intra-articular injections. As the symptoms worsen, they require surgery for pain relief and deformity correction. In slightly earlier stages, ‘Partial Knee Replacement Surgery” is helpful. At advance stages, “Total Knee Replacement Surgery” is performed to help the patient getting back to a normal lifestyle.

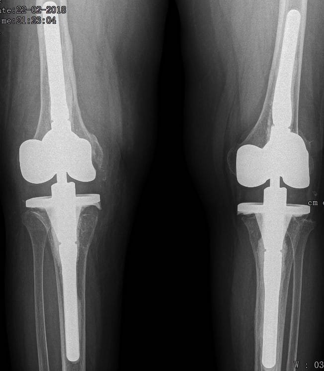
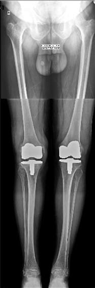
Although there has been an attempt to perform knee replacement in the 19th and early 20th century, Total Knee replacement surgery has come a long way since 1970s with continuous improvement in the design of implants and fixation techniques. Success from Charlney’s hip replacement surgery got surgeons and engineers interested again leading to modern-day implants. It has been successfully being performed worldwide from 1980 onwards. Diseased part of femur and tibia are removed using special instruments and metal implants mimicking design of femur and tibia are inserted using antibiotic-laden polymethyl methacrylate (bone cement). A polyethylene inset is fixed onto the tibial implant thus allowing movement at the knee joint. The undersurface of patella may be replaced with a patellar button in some cases. Due to improved technique and implant design, this surgery has gained immense popularity and has given a new lease of life for the patients suffering with arthritis of the knee joint. Patients can walk comfortably with the help of support following surgery and aren’t dependent on others for day-to-day life activities. Quality of postoperative care in recent times has further boosted the confidence among the patients undergoing this surgery. Patients are taught to strengthen the thigh muscle post-operatively and encouraged to become mobile. Gradually, they learn to climb stairs and later they walk around independently without any aided support. It is recommended that patients should not sit on the floor or squat. This helps maintain the longevity of the implants. As per the American Association of Orthopaedics, success rate of total knee replacement after 15 years is almost 90% and at the end of 25 years is almost 82%.
Once all investigations are done, you will be asked to see a physician from the team to evaluate the fitness for anesthesia.










It is due to progressive wear and tear leading to loss of cartilage in knee joint. Most commonly, this is due to the aging. In some cases, damage to the cartilage may occur due to rheumatoid and other inflammatory arthritis, trauma, infection, gout, or any other condition affecting knee joint. Those who are over-weight have more chances of developing arthritis in their knees.
Patients complaints of gradual onset of pain and stiffness in the affected knee joint. Gradually worsening pain and difficulty in performing day-to-day activities may be noticed as time progresses. They are not able to walk the distance as they could earlier. They also get pain at night, which affects their sleep.
Your doctor will do clinical examination of knee joint, hip joint, spine and other joints of your body. X-rays of both knees will be performed. Occasionally, MRI of the Knee joint and few blood investigations may be required as per their underlying problem.
In total knee replacement surgery, we remove the damaged area over the femur, tibia and patella in the knee joint. It is replaced it with metal implants which are in the shape of these bones. These metal implants are fixed over your bone with the help of bone cement. Implants come in various sizes and you will get the best fit suited for you.
It is recommended to undergo surgery when patients are not getting pain relief with analgesics, having difficulty in carrying out day-to-day activities, pain interfering with sleep hip or deformity starts to appear in the knee.
You will be admitted one day before surgery. You would already have seen the anesthesia team with your routine reports so that you get fitness for surgery. Your anesthetist will make you numb at your operating area. You will remain awake throughout the procedure. You can listen to songs if you wish to. The surgeon will perform surgery as per the protocol and insert new knee joint which fits best in your joint. Once you are transferred to recovery room, you will be started on oral diet.
You can start to walk with the help of a walker once the effect of anesthesia wears out completely, that can happen on the same day evening or next day morning, depending on the time of your surgery. The physiotherapist will help you in walking and teach you a few exercises.
Once you have completed the “post-operative pathway” as per the knee replacement surgery protocol, you are fit to go home. It can vary from 3-5 days after surgery.
Yes, you should be very careful and protect your new knee joint so that it lasts long with you. You should avoid – sitting on the floor, squatting, or high-impact activities. It may cause damage to implanted knee.
Copyright @ Dr. Deepak Kumar Mishra | Privacy Policy | Terms and Conditions
Designed and Developed by DigiTrend